スタッフブログ

2012.10.31

メラニン除去の経過

 こんにちは。

今日は歯ぐきのメラニン除去の症例のご紹介です^^

歯ぐきのメラニン除去とは・・・

タバコなどの影響で歯ぐきが黒ずむことがありますが、
これはメラニン色素が沈着して起こる症状です。
お薬を塗るだけの施術を
ようすを見ながら数回おこないます。
 
痛みはほとんどなく、短期間でピンク色の
健康な歯ぐきを取り戻すことができます。

 

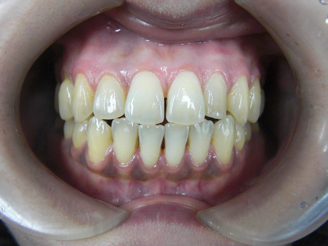
↑ 初診時のお写真です。
はぐきの上下ともに黒くなっています。
 30歳代、喫煙習慣がある方です。
 まずは上の歯ぐきのみ
メラニン除去をすることになりました。
 この日に一回目の薬剤塗布。


↑ 初診時から8日後。
 若干のムラが見られますが、
上のはぐきの一部が黒ズミが薄くなっています。
 2回目の薬剤塗布。



↑ さらに9日後。 
  薄茶色で目立ちにくくなってきました。
  3回目の薬剤塗布。



↑ 14日後。
  ほぼわからないくらいに綺麗になりました^^
  
  下の歯ぐきと比べるとわかりやすいですね!
  4回の塗布でしたが、
何回かかっても一律5000円です。


メラニン除去は虫歯の治療や検診と
同時に進めることができます。
気になられた方は御相談ください☆

   

池上デンタルクリニックHP 

http://www.ikegami-dental.com/

550-0014  

大阪市西区北堀江1-3-24 

(地下鉄四ツ橋駅6番出口徒歩1分、各線なんば駅すぐ)

TEL* 06-6648-8522

一般歯科 小児 審美 ホワイトニング 口腔外科 

インプラント デンタルエステ 無痛

コメント

コメントフォーム