当医院では見た目も機能的にも優れた部分的な詰め物から全体的な被せ物、入れ歯までご用意させて頂いております。
オーダーメイド感覚で、患者様1人1人にあった色や形までご相談お受けします。施術前にはカウンセリングを行い、ご納得して頂くまでお話させて頂きます。審美歯科の治療なら当院にお任せください。
自費診療10,000円以上の場合、各種クレジットカードもお使い頂けます。

当医院では、お客様一人一人に合った最適なプランを提供致します。
まずしっかりとカウンセリングを行い現在の状態などを把握した後、治療へと進めていきますので、初めての方もご安心下さい。
歯の悩みを抱えている方、ご相談下さいね。

・歯の隙間をなくしたい
・歯並びをよくしたい
・銀歯を白くしたい

金属を一切使用していないため天然歯のような仕上がりになります。また、経年による変色はほとんどありません。
お取り扱いしている材質の中で一番強度のあるので奥歯やブリッジなどに使用されることが多いです。

金属を一切使用していないため天然歯のような仕上がりになります。また経年による変色はほとんどありません。
(ジルコニアとは強度の差のみです)

金属の使用を最小限にとどめたセラミックタイプのものです。
内側の金属による強度と、見た目の自然な美しさを両立させ、トータルバランスに優れた仕上がりになります。
強度があるので、かみ合わせの強い奥歯に適しています。

▼¥52,250‐税込
セラミックとレジン(プラスチック)を合わせた材質です。セラミックが入っているため強度もありますが、レジンも含まれているため経年による変色が多少みられます。

¥52,250‐税込
セラミックでできており、審美性に優れています。
天然歯に近い透明感を再現でき、金属アレルギーの方も安心してお使い頂けます。
経年経過で色が変わることはありません。
インレーで起こりやすい二次的な虫歯を防ぎ、歯や歯茎の変色を解消できます。
生体親和性がよくアレルギーの心配が少ない金属を使用。
硬さが天然歯に近いため、咬みあう歯を痛めません。
¥31,350‐税込
セラミックとレジン(プラスチック)を合わせたものです。
強度・美しさにおいて優れており、自然な白さを実感できます。
レジンが入っているため経年による変色が多少みられます。、
ガラス強化繊維樹脂を使用しており特にオールセラミックと組み合わせることで透明感、 美しさをより強調し、優れた機能性を実感できます。
密度の高い14Kを用いた歯の土台です。金を用いているのでメタルタトゥーと呼ばれる黒ズミが出来る事なく、強度の高さも優れた点の一つです。
メタルセラミッククラウンやハイブリットクラウンとの組み合わせで、さらに満足して頂ける仕上がりになります。
一般的な歯科金属です。

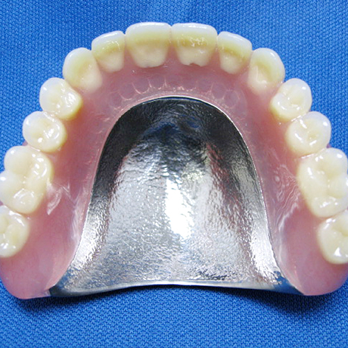
パラジウムより熱伝導率が良く、丈夫な素材なのでより薄く軽い入れ歯に仕上がります。

比重はあるが、熱伝導率が良く、抗菌作用もあります。
腐食しにくく審美的にとても優れています。

▼¥203,500‐税込(3歯~片側)
ノンクラスプデンチャーは、特殊なナイロン製の素材でできており、軽量でなおかつ金属クラスプを使用しないので、審美的にも
とても優れております。
破折もほとんどなく弾力性があるため歯肉に対しマッサージ効果が得られるので、
顎堤の吸収を緩和することができます。
また、金属アレルギーの心配もなく、金属床との併用も可能です。

歯と同じ様な白い色合いのバネを使用した入れ歯で、金属のバネを使用するより審美性に優れています。